“四维特惠”、“晒照有礼”,这个福利真不一般!
来源:雅安恒博妇科医院 阅读:1922次
生命是一场奇妙的旅程
当一个顽强的小生命
在妈妈的身体里扎根的时候
所有人都开始对这个小生命充满了期待

当一个顽强的小生命
在妈妈的身体里扎根的时候
所有人都开始对这个小生命充满了期待

随着宝宝在妈妈的身体里不断的长大
爸爸妈妈们就会情不自禁的想
“我们的小宝贝会是什么样子”
“长得像爸爸还是像妈妈”
“他/她是高鼻梁,还是小嘴巴”

爸爸妈妈们就会情不自禁的想
“我们的小宝贝会是什么样子”
“长得像爸爸还是像妈妈”
“他/她是高鼻梁,还是小嘴巴”

为了提前探寻这一“真相”
我们可以通过一个特别的仪式
在影像中让宝宝与爸爸妈妈提前相遇
感受宝宝与父母奇妙的连接
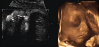
这一切,只需要选择四维彩超就可以啦

我们可以通过一个特别的仪式
在影像中让宝宝与爸爸妈妈提前相遇
感受宝宝与父母奇妙的连接
这一切,只需要选择四维彩超就可以啦

好了,煽情的话不多说了
小编直接来说福利吧
我们一年一度的四维彩超特惠又来啦
活动时间:2018.07.17~08.17
福利一:四维彩超特惠288元小编直接来说福利吧
我们一年一度的四维彩超特惠又来啦
活动时间:2018.07.17~08.17

在领券链接上,填写清楚自己的真实信息,保持手机通畅,工作人员会联系您预约安排好四维彩超时间。
未到四维彩超时间的孕妈们也可先领券,在适宜做的时间做即可(2018年7月17日~12月17日间)。
福利二:四维/5D彩超晒照集赞有礼

晒照需配上文字“雅安恒博医院四维/5D彩超+自己想说的话”,集赞满88个,即可获得:
雅安恒博医院送出的儿童音乐摇摇木马一个+雅安奶滋坊提供的30元无门槛代金券一张。



温馨提醒:
1、四维彩超最佳时间是孕24—26周。
2、做四维彩超检查前,孕妈们不要过于紧张,如果过于紧张会影响到腹中胎儿。
3、四维彩超检查不需要空腹。孕妈有饱腹感,宝宝会爱动一些,更易于做检查。
-
10:16:30
-
-
我是在线医生,请问您想咨询什么问题?
-
10:16:30
-
-
请说!
相关文章




